affordable invislign near me

Looking for Affordable Invisalign?

Invisalign is an orthodontic treatment that uses a series of computer-generated mold to realign or correct teeth. The aligners are custom-made clear braces that cover teeth without metal braces and they are made up of a material that is invisible and comfortable to wear. It has been found to be more effective than braces in terms of its ability to improve the appearance of teeth 1

How effective are these aligners?

The aligners moves teeth by applying a controlled force to different parts of your teeth during different stages in your treatment, and only specific teeth can move with each new set of aligners you wear.

Show More

Comfort clear aligners feel more like the texture of your actual teeth than metal brackets and wires do. The aligners are made from a durable thermoplastic polymer called SmartTrack, which is free of gluten, latex and BPA and is deemed safe for people with allergies, as well as pregnant people.

 Traditional braces can rub on your cheeks, causing them to feel raw. Invisalign has been shown to be effective in treating mild to moderate crowding of the teeth. It can also be used to treat other dental problems such as underbite, overbite, gapped teeth, crossbite, open bite, crooked teeth, mix of baby and permanent teeth.

Show Less

How Invisalign Works - Your treatment process

During the consultation with Spark Family Dental experienced dentists, after careful review of the health history, oral exam, series of X-rays, the dentist uses a 3D digital scan of your teeth with the most advanced iTero Element scanner to generate a custom aligning plan. The dentist will show before and after treatment looks, so you can right away see the results that can be nearly the same or perfectly achieved. Furthermore, they show how the teeth will move from their current alignment to ideal alignment with digital imaging as well as disclose how many sets of aligner trays (and weeks to wear) will be needed for the course of the treatment plan.

Show More

Depending on the complexity of the case, your treatment plan may vary anywhere between six to 12 months or more. The patients start noticing the changes in the alignment in a matter of weeks. For an accurate completion time, request a consultation call at 209-666-2162

Once your treatment plan is complete, you can either continue wearing your final set of aligner trays as retainers or purchase a set of Vivera retainers, which are sturdier than the aligner trays. All orthodontic treatment requires the wearing of retainers to keep the teeth straight and stable. Plan on wearing your retainers indefinitely once you’re done, even if it’s just a couple of times a week after the initial retention period of one to two years.

Show Less

How much does a set of Invisalign cost

The cost varies depending on the treatment plan, size of aligners purchased and number of visits necessary for the process to be completed. The average cost is $5,500-$7,000 per treatment period. Most plans include initial scans and aligner trays that are customized to fit each patient’s teeth, as well as appointments with a dentist or orthodontist every few weeks during treatment. We at Spark Family Dental simplified the payment options so your average cost would be as low as $3499* and you have flexibility to choose the option that best fit your budget needs. CLICK HERE for complete payment options

* For simple cases only. 

Which is better: traditional or clear aligners?

The decision of which type of orthodontic treatment is best for you will depend on your individual circumstances. Traditional braces are typically more effective at correcting complex misalignment issues, while clear aligners can be used to correct milder forms of misalignment and are virtually invisible when worn.

When it comes to comfort, traditional braces can sometimes be uncomfortable due to the metal wires and brackets that apply pressure to the teeth. Clear aligners are made of a smooth plastic material that fits snugly over the teeth and do not cause any discomfort.

Show More

In terms of convenience, clear aligners can be removed when eating or brushing your teeth so there is no need to change your diet or oral hygiene routine. Traditional braces require specialized tools for cleaning and must remain in place all the time, meaning they require more maintenance overall.

Ultimately, each person’s needs and preferences should be taken into consideration when deciding between traditional braces and clear aligners. Consulting with an orthodontist can help you determine which type of treatment is best for you.

Show Less

$
3499*
Low Total Cost

Option 1

$
1000*
9 months payments

Option 2

line
banner circle
$
1500*
6 Months payments

Option 3

Questions & Answers

Invisalign Frequently Asked Questions

Have questions about Invisalign? At Spark Family Dental, we want you to be updated about your dental health to make the best decisions for you and your family. To that end, we’ve compiled a list of the most frequently asked questions we receive at our office.

The average treatment time for is about 12 months, but can range from 6 to 18 months depending on the severity of your case. Treatment time also varies based on how well you wear your aligners as directed (22 hours per day), and whether or not you require any additional treatments such as tooth contouring or jaw realignment.

It’s a clear aligner system that is virtually invisible, so you can straighten your teeth without anyone knowing.

The treatment is more comfortable than traditional braces because there are no metal wires or brackets to irritate your gums and mouth.

You also have the flexibility to remove your aligners when you eat and brush your teeth, making it easier to maintain good oral hygiene during treatment.

Cost: More expensive than traditional braces, with treatment costs ranging from several thousand to tens of thousands of dollars depending on the severity of the case.

Time: Treatment time can range from 6-18 months, so it can take longer to see results than with traditional braces.

Compliance: Because aligners are removable, patients must be diligent about wearing them for at least 22 hours per day in order to achieve the desired results.

Limited treatment options: In some cases, such as severe misalignment or a crossbite, it may not be an effective solution and other orthodontic treatments may be recommended instead.

It’s a system of clear, removable aligners that are used as an alternative to traditional braces. While it does not work permanently, it can be quite effective in treating many types of orthodontic problems. The treatment process typically takes between 12 and 18 months, and the results are often comparable to those achieved with traditional braces. Additionally, it is usually much more comfortable than traditional braces and can be removed for eating, brushing, or other activities. After treatment is complete, it is important to wear a retainer in order to maintain the desired alignment achieved by the Invisalign aligners.

Invisalign is a system of clear, removable aligners that can be used to straighten teeth without traditional metal braces. The aligners use advanced 3D computer-imaging technology to create a treatment plan tailored to the patient’s specific needs and goals. Each set of aligners is worn for two weeks and then replaced with the next set in the series as the teeth gradually move into the desired position. It can be used to address a variety of orthodontic issues, including overcrowded teeth, gaps between teeth, overbites, underbites, and crossbites. The treatment time varies depending on the complexity of the case but typically takes between six months and two years to achieve the desired results.

Dental insurance typically covers traditional braces, but not Invisalign. However, some orthodontic insurance plans may offer a discount on the cost of treatment.

Invisalign allows you to straighten your teeth without using metal brackets or wires, making them much less visible than traditional braces. They are also removable, so you can eat and drink whatever you want without worrying about food getting stuck in your braces. In addition, the aligners are comfortable to wear and easy to clean.

Invisalign can be used to correct a wide variety of dental problems, including crowding, spacing, overbites, underbites, and open bites. However, it may not be suitable for very complex cases. Schedule a call to discuss further.

 

Invisalign treatment is generally very comfortable. The aligners may cause some initial soreness or discomfort when they are first put in, but this should go away within a few days.

The main risks associated with Invisalign treatment are tooth damage and gum recession. It is important to follow your orthodontist’s instructions carefully to minimize these risks. Additionally, Invisalign treatment can be more expensive than traditional braces. If you have any additional questions about Invisalign, please call and we would be happy to answer any questions.

You can eat with your aligners in, but you should be careful to avoid hard, sticky, or chewy foods that could damage the aligners. You should also brush your teeth after eating to remove any food particles that may be stuck in your braces.

 

While Invisalign is not specifically for children, many orthodontists do use Invisalign to treat patients who are 12 years old or older. If you think your child may be a candidate for Invisalign treatment, please call and we would be happy to answer any of your questions.

 

Some Invisalign alternatives include traditional braces, clear braces, and invisible aligners.

You should brush your aligners with a soft-bristled toothbrush and clear soap at least once a day. You can also rinse them with lukewarm water. It is important to clean your aligners regularly to prevent plaque buildup and tooth decay.

The cost of Invisalign treatment will vary depending on the complexity of your case and the number of aligners needed to achieve the desired results. Generally speaking, a full set of Invisalign aligners can range from $5,500-$7,000. However, some dental insurance plans may cover a portion of the cost, so it is best to check with your provider for more information. We at Spark Family Dental, simplified the payment options so your average cost would be as low as $3499* and you have flexibility to choose the option that best fit your budget needs. CLICK HERE for complete payment options

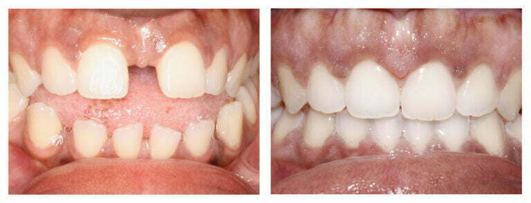
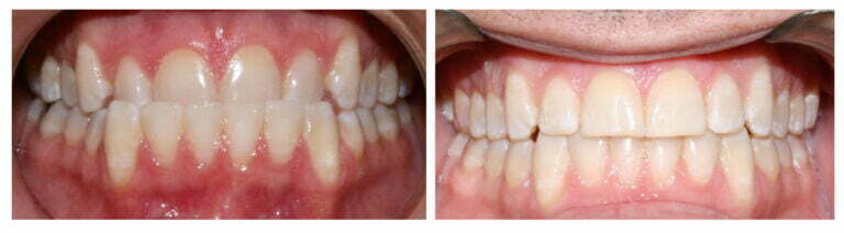
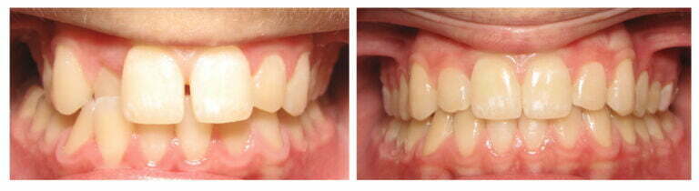
Before and After Invisalign Treatements

Our contact

Book An appointment with Invisalign Provider

Improve your oral health and give yourself a smile you can be proud of with Invisalign from Spark Family Dental. Book an appointment with our Invisalign providers today to see how we can help you achieve optimal oral health.

schedule your appointment

Spark Family Invisalign Center

Acquire the Invisalign you need from the Spark Family Dental. You can trust that our team will help determine if Invisalign are the best solution for you and your smile. We have the experience and qualifications to provide high-quality treatement that improve your smile and oral health. Schedule your appointment today!

contact us

Schedule your appointment right now!

Recover the will to smile with freedom and comfort

Request Schedule

Fill out the form below to schedule a visit with us.